インプラントなら国内最多症例・ダイヤモンド認定の徳誠会グループにご相談ください
医療法人社団徳誠会グループは全国に16医院、歯科技工所、歯科衛生士学校を展開する大型医療法人です。

時間予約

インプラント
年間埋入実績

※2025年1月〜2025年12月

2,485

歯科CTによる精密な診断
相談無料 ご相談ください セカンドオピニオン
他院に断られた難症例にも対応

徳誠会歯科・矯正歯科国内唯一
ダイヤモンドメンバーに認定

徳誠会歯科・矯正歯科国内唯一
ダイヤモンドメンバーに認定

世界最大のインプラントメーカー
「デンツプライ社」より

国内
最多症例数

表彰されました

Advanced Implant Treatment

圧倒的なインプラント技術の差
骨と歯茎まで見据えた、ワンランク上の治療へ

インプラントはただ埋入して歯を取り戻す治療ではありません。

骨の再生、歯茎の再生も高いレベルで行うことで初めてレベルの高い治療を行うことができます。

当法人では大学病院で治療不可能と言われた患者様でも 骨移植、歯肉移植を伴う再生治療を併用し高いレベルのインプラント治療実績を積み上げて参りました。

ただインプラントを埋入する以上の治療。歯周組織と調和した最高レベルのインプラント治療を目指しております。

どれだけ骨が無くなっていても歯茎がなくなっていても全て再生させることができます。

もしお悩みの方は是非一度御相談にいらして下さい。

横浜エリア統括院長
中村 有為

国内外でインプラント治療の研鑽を積んだ

インディアナ大学
客員教授歯科医師

インプラント治療をいたします

DOCTOR

当院のインプラント治療は、インディアナ大学歯周インプラント科客員教授としての経験を持つ歯科医のもと、最新の技術と知識で提供されています。このような国際的な経験を持つ歯科医により、安全性と確実性をもって治療を行います。

横浜エリア統括院長
中村 有為

Yuui Nakamura

インディアナ大学歯周インプラント科 客員教授

アストラインプラントシステム 公認インストラクター

厚生労働省歯科医師臨床研修指導医

歯科医師国際口腔インプラント学会

Clinical Oral Implantology DGZI Japan 認定医

厚生労働省歯科医師

臨床研修指導歯科医師

国立東北大学歯学部卒業

独立行政法人日本海総合病院 歯科口腔外科勤務

JIADS perio course(長期予後を確立するための歯周病治療)修了

JIADS implant course 修了

SJCDMicro Hands on Course(Endodontic,Periodontal,Restoratiue and Implant Microdentistry) 修了

松岡塾(マウスピース矯正)Basicコース、Advanceコース修了

Introduction of Microscopic Technirue Course 修了

soft tissue and hard tissue course(Dr瀧野裕行)修了

石井歯内療法研修会 修了

所属学会

日本口腔外科学会 会員

日本歯周病学会 会員

日本歯科顕微鏡学会所属

鶴見大学歯周病学講座 所属

セカンドオピニオン・
インプラント無料相談実施中

一度、最適な治療法を見極める機会としてご利用ください

インプラント治療は手術を伴うため、価格だけで選ぶのは非常に危険です。
当院では、セカンドオピニオンとしての無料相談を随時受け付けております。
他院で治療を断られた方や、難しい症例の方もご安心ください。
当院は、どんな難症例にも対応できる体制と技術があります。

電話でのお問い合わせ

TEL 045-755-7195

9:00~13:30/15:00~20:00 土日祝18:00まで

24時間Web予約
歯医者に見てもらう前に不安になることなど

こんなお悩みはありませんか

  • 01

    前歯がなくて、人前で笑えない

  • 02

    奥歯がなくて、うまく噛めない

  • 03

    歯がほとんどない、ボロボロになってしまった

  • 04

    歯周病が進行して、総入れ歯を勧められた

  • 05

    他院で「もう無理」と言われた

  
まずは無料カウンセリングでご相談ください。

当院なら解決できます

徳誠会の専門医なら経験豊富な専門医が、患者様一人ひとりに合った治療を行います。 歯がボロボロでもALLon4やALLon6など、歯がほとんど残っていない方でも対応可能です。

1Dayインプラントなら
手術当日抜歯から仮歯まで完了

インディアナ大学客員教授が執刀の高品質インプラントが、 1本99,000円から

公的医療保険外治療 新しい技術・医療機器を使った治療のため、公的医療保険が適応されません。

価格は消費税込みです。

電話でのお問い合わせ

TEL 045-755-7195

9:00~13:30/15:00~20:00 土日祝18:00まで

24時間Web予約

よく聞くインプラント治療のお悩み

当院にお任せください

  • 01

    治療期間は長くなる?

  • 02

    興味はあるけど手術が怖い

  • 03

    骨が薄いと他院に断れた

  • 04

    入れ歯の煩わしさが無くなる?

当院は患者さま毎に
最適なオーダーメイドの
治療計画をいたします

当院では患者さまが、インプラント治療に対して抱えている
不安要素を出来る限り解消されるように、インプラント治療に取り組んでおり、
極力患者さまの不安を払拭できるようなアプローチを心がけております。
インプラント治療を悩まれてる方は、まずはお気軽にご相談ください。

「インプラントは治療期間が長いのでは?」
とご不安な方へ

1day(ワンデイ)
インプラント治療

手術した当日から食事が可能

通常のインプラント治療では、インプラント埋入後、顎の骨とインプラント体が結合するまで3〜6ヶ月ほどかかり、仮歯を装着することでようやく、普通にものを噛めたり、食事を楽しめたりと、日常の生活に戻れるまで長期間のストレスを抱えた生活を余儀なくされてきました。
しかし、1day(ワンデイ)インプラント治療では、インプラント体の埋入から仮歯の装着まで1日で終えることができるので、治療期間中のストレスが軽減されます。来院したその日に手術が終わるので、遠方からお越しの方にも喜ばれています。

※ワンデイインプラントは、事前の検査によって当日手術が行えない場合がございます。まずはご相談ください。

手術当日の流れ

  • 01

    手術の準備

    まずは健康状態をチェックやクリーニングを行い、手術の準備に入ります。

    まずは健康状態をチェックやクリーニングを行い、手術の準備に入ります。

  • 02

    インプラント手術

    麻酔後、インプラントの埋入手術を行います。

    麻酔後、インプラントの埋入手術を行います。

  • 03

    人工歯の型取り

    当日仮歯を装着するため、人工歯の型取りをします。

    当日仮歯を装着するため、人工歯の型取りをします。

  • 04

    仮歯の製作

    型をもとに技工士が仮歯の製作をします。麻酔が効いてる間、
    回復室でゆっくりとお過ごしください。

    型をもとに技工士が仮歯の製作をします。麻酔が効いてる間、回復室でゆっくりとお過ごしください。

  • 05

    仮歯の装着

    仮歯が完成したら装着して治療は完了します。手術当日に食事をすることができます。

    仮歯が完成したら装着して治療は完了します。手術当日に食事をすることができます。

他院でインプラント治療を断られた方

骨造成による
インプラント治療

骨が薄くても治療可能

他院でインプラントを断られたという患者さまで「顎の骨が痩せている」という相談を受けることが多いです。顎の骨は噛む刺激により、骨を作る作用が働き健康的な骨を維持することができます。しかし、長い年月総入れ歯を使用されていたり、失った歯のまま放っておいたりすることで、骨への刺激がなくなり歯槽骨の吸収で徐々に顎の骨が痩せていく現象が起こります。そうするとインプラントを埋めたくてもそもそもの土台を失っているので、治療を受けられないということになります。
当院では、そのような理由でインプラント治療を断られた患者さまでも『骨造成治療』によって治療を行うことができます。

GBR(骨誘導再生)

骨が細くなってしまいインプラントが骨に収まらない場合、メンブレンという特殊な膜を使用して、骨を造成する治療法です。

サイナスリフト(上顎洞底挙上術)

上顎の側面から穴を開け、上顎洞の骨を取り除いて、上顎洞底部を持ち上げた隙間に自分の骨や人工骨を移植する治療法です。

ソケットリフト(上顎洞底挙上術)

口腔内から専用の器具で上顎洞底を押し上げ、人工の骨補填材を挿入してインプラントを埋入する治療法です。

手術への恐怖や身体への負担が心配な方

静脈鎮静法で
痛みの無い治療

リラックスしている状態で治療が完了

静脈内鎮静法は、点滴による静脈麻酔で眠っているような状態で、痛みが無く治療を受けることができます。歯科治療が怖い方や痛みが苦手な方、手術に対して不安がある方などに最適な治療法です。
患者さまの呼吸や脈拍などを把握して、担当医による監視のもと治療を行います。全身麻酔と違い、完全に意識はなくならず問いかけにも反応でき、安心してインプラント治療を受けることができます。

このような方は
「静脈内鎮静法」がおすすめです

歯科治療に恐怖心の強い方や手術に不安がある方

口の中に器具が入ると反射的に嘔吐してしまう方

高血圧症、心疾患、糖尿病などの持病がある方

今まで治療中に気分が悪くなった経験がある方

リラックスした状態で歯科治療を受けられたい方

1Dayインプラントなら
手術当日抜歯から仮歯まで完了

インディアナ大学客員教授が執刀の高品質インプラントが、 1本99,000円から

公的医療保険外治療 新しい技術・医療機器を使った治療のため、公的医療保険が適応されません。

価格は消費税込みです。

電話でのお問い合わせ

TEL 045-755-7195

9:00~13:30/15:00~20:00 土日祝18:00まで

24時間Web予約

手術の安全性、長期安定性を守るため、
妥協しないインプラント治療をご提供します。

当院のインプラント
治療5つの特徴

FIVE
FEATURES

01

精密治療・診断

現在の状態になってしまった原因を正確に把握するため、正確な「診査・診断」を行わなければ、治療成功はなり得ません。数ヶ月、もしくは数年後に再発をしてしまわないためにも、当院では特に治療前の精密な検査と正確な診断に力を入れております。

歯科用CTで隠れた部分を細部まで把握

歯科用CTはインプラントのツールとしての導入と思われがちですが、実際には「予測の診療から確実性のある診療」へ変えることができます。
従来のレントゲン撮影と違いCT撮影は、神経や血管の位置、骨の状態、病状の進行具合など、立体的な3次元の情報が視覚的に確認できます。

肉眼で見えないものを
マイクロスコープで確認

肉眼では見えないものを20倍まで拡大観察できるので、精密な治療を実現し、歯の治療も肉眼では見えない歯の神経や虫歯の治療も可能になります。
根管治療での成功率を上げ、再発率を下げることができるので、精密な治療を行うインプラント治療には必要不可欠な医療機器になります。

02

インストラクターによる手術

当院では世界最大のインプラントメーカー『デンツプライ社』の公認インストラクターが在籍しております。年間手術症例数、学会症例発表数、国内外での研修会や勉強会での研鑽、定期開催している若手ドクター育成セミナーでの指導を経てそのライセンスを取得しました。
また、アメリカで伝統のあるインディアナ大学の歯周インプラント科にて、客員教授の称号を得ております。
骨が不足していて骨造成が必要な患者さま、インプラントができなかった患者さま、インプラントに関わるトラブルを抱えた患者さまなどの難症例にも対応しております。

当院のインプラント治療の特徴

インプラントだけでなく、総合的な完成度への追及

矯正歯科や審美治療等幅広い治療を行える当院だからこそ、総合的な完成度を高めることを大切にすると共に「インプラントと気付かれることがない自然な見た目」審美性を重視しております。

デンツプライ社のダイヤモンドメンバー

臨床データで『世界で最も信頼性の高いインプラントシステム』と言われているメーカー「デンツプライ社」に、当院は国内最多症例数を表彰され、ダイヤモンドメンバーに認定されました。

インディアナ大学客員教授の歯科医師が治療をいたします。

当院のインプラント治療は、インディアナ大学歯周インプラント科客員教授としての経験を持つ歯科医のもと、最新の技術と知識で提供されています。このような国際的な経験を持つ歯科医により、安全性と確実性をもって治療を行います。

03

感染等安全面への配慮

当院では、インプラントに対する院内感染防止のため安全面を考慮した設備投資を惜しみません。徹底した滅菌対策のもとインプラント専用オペ室を完備し、オペ室内には滅菌水で手洗いをする手術用自動滅菌手洗い機の設置しています。また、プライバシーに配慮した全室個室診療で、他の患者さまの目を意識することなく、治療に集中していただくことができます。

インプラント専用オペ室

手術用自動滅菌手洗い機

全室個室診療

04

患者さまの声を大切にしたカウンセリング

患者さまと歯科医との信頼関係を築くため、インプラント治療に対する理解を深めていただくために6つの約束をいたします。

治療を始める前の丁寧なカウンセリングをします。

治療期間を伝えます。

不安や疑問点をお聞きし、お応えします。

治療方法をご提案します。

手術のリスクをお話しします。

できる限り痛みの少ない治療を行います。

セカンドオピニオン対応

当院ではセカンドオピニオン、サードオピニオンに対応しております。もちろん当院での治療説明後に、セカンドオピニオンを求めていただいても構いません。

インプラントの無料相談を実施

当院では、あなたのご希望にあったインプラント治療計画や治療前の不安点等お気軽にご相談できます。

05

お口全体をトータルに考えた「総合歯科医療」

歯科用CTで隠れた部分を細部まで把握

お口の中全体に渡って治療部位が存在している場合やかみ合わせが崩壊している場合など、治療法は複雑になります。そのような場合、「補綴治療」、「歯周病治療」、「インプラント治療」、「矯正治療」など、様々な歯科医療分野の治療を組み合わせ、患者さまそれぞれのご希望に沿ったオーダーメイドの治療を行います。
一口腔単位でのかみ合わせの考慮された、バランスのいい治療は審美性、機能性に優れた長く持つ治療となります。

1Dayインプラントなら
手術当日抜歯から仮歯まで完了

インディアナ大学客員教授が執刀の高品質インプラントが、 1本99,000円から

公的医療保険外治療 新しい技術・医療機器を使った治療のため、公的医療保険が適応されません。

価格は消費税込みです。

電話でのお問い合わせ

TEL 045-755-7195

9:00~13:30/15:00~20:00 土日祝18:00まで

24時間Web予約

歯を失った場合

歯を失った場合の治療法は、主にインプラント、ブリッジ、入れ歯の3種類があります。各治療ともメリット・デメリットがそれぞれありますが、治療効果が最も高く、再治療の可能性が低いことから、お勧めしたい治療はインプラントになります。

インプラント治療の
メリット・デメリットについて

インプラントのメリット

他の歯に悪影響を与えない

インプラント治療は歯根の部分も含めて歯を再生します。周囲の歯に負荷をかけないので、他の歯に悪影響を与えることはありません。

長期間使用できる

インプラントは適切なメンテナンスがされていれば数十年と問題なく使えます。実際にインプラント治療をし、20年以上問題なく使用されている事例は多数報告されています。このように長期間安全に使えることから、第二の永久歯とも呼ばれています。

天然歯と同様な使用感と見ためが実現

歯冠部分のセラミックは様々な色を再現でき、理想通りの白い歯も周囲の歯に馴染む色合いも再現できます。また、歯根部分も再生されてしっかりと支えられているので、天然歯と同じように噛むことができます。

インプラントのデメリット

治療が長期にわたる

インプラント治療は数段階に分かれ、準備段階から完了までには通常約2〜10ヶ月程度を要します。そのため、ブリッジや入れ歯よりも治療期間が長くなります。

外科的な処置が必要で身体の負担が大きい

インプラント治療には、骨に穴を開けてインプラントを埋め込む外科手術が必要です。これにより、手術後の痛みや腫れ、時には長期間の回復期間が必要となることもあり、身体への負担が大きい場合があります。

保険適用外の治療となる

インプラント治療は多くの場合、健康保険の適用外となります。そのため、全額自己負担となることが一般的で、高額な治療費がかかることが懸念されます。ただしインプラント治療は医療費控除の対象なので、治療費の負担を軽減することができます。

手術したその日に仮歯の装着ができるので
食事や審美面でのストレスが軽減されます。

インプラントの治療例

IMPLANT
CASES

01

下顎の治療例

下顎は重要な神経や血管が通っているので、入念な下調べや検査をしてからの治療が必須となります。

02

上顎の治療例

上顎はそもそも骨が薄くインプラント治療がしづらい部位です。そのため、治療ができるのか、骨造成は必要かなど見極めるため経験と知識が必要となります。

当院のインプラン治療は上顎、下顎ともに
手術をしたその日に仮歯の装着までできます。
歯が無い期間が無いので、
食事や審美面でのストレスが軽減されます。

インプラントが定着するまでは主治医の指示に従い、患部に過度な負担がかからないように注意してください。

ワンデイインプラントは、事前の検査によって当日手術が行えない場合がございます。まずはご相談ください。

MERIT

治療のリスク

01

上顎のトラブル

上顎の骨は薄く、その上には上顎洞(副鼻腔のはひとつ。蓄膿症で膿が溜まる場所)という空洞があります。もしインプラントが顎骨を突き抜けて上顎洞まで貫通してしまうと、感染が起き上顎洞炎を発症するリスクがあります。そのため骨の厚みが不足している場合は「上顎洞底挙上術」という骨造成(移植)処置を行う必要があります。この骨造成は高度な技術を要するので、経験と知識に裏付けされたインプラント執刀医が行うことが推奨されます。

02

下顎のトラブル

下顎の骨の中には重要な神経と血管が通っています。そこにインプラントのドリルが触れるなどの事態が起きれば神経が損傷して唇周囲が麻痺するなど重大な事故になります。そのため、手術前にCT撮影を行い、神経までの正確な距離を測定し、十分な安全域を見極めてから治療する必要があります。

03

審美的なトラブル

前歯は人目につきやすいデリケートな部位です。そのため前歯のインプラント治療のリスクは見た目に関することが多いです。インプラント治療の経験が浅い歯科医師が前歯のインプラント治療を行い審美面でのトラブルに発展するケースも多く見られます。

インプラント治療によって見た目を元の天然歯と同じように修復するには、下記の点が重要です。これを実現するには入念なプランニングと熟練した技術が不可欠です。

インプラントを良好なポジションに埋め込むこと
適切な骨造成をおこなうこと

リスクの高い治療だからこそ、
エキスパートによる
治療が大切です。

インプラントは優れた治療法の1つですが、それと伴い様々なリスクも高くなります。
一生ものの治療となり得るインプラント治療だからこそ、価格だけを見るのではなく、
本当に安心して治療を行うことができる歯科医院選びをご選択されるよう、お願いしております。

リスク回避に大切な3原則

  • 1

    執刀医による
    技術と知識

    実績のあるインプラント
    執刀医による治療を行います

  • 2

    デジタル機器
    による診断技術

    精度の高い診断を実施するために
    デジタル機器を導入してます

  • 3

    静脈鎮静法で
    痛みの無い治療

    滅菌器を導入し診療に使う
    機器の清潔状態を保っています

症例が難しければ難しいほど、
これらの重要性が高くなります。

  • 01

    重度の歯周病で抜歯を行った

  • 02

    歯の周囲の炎症が原因で抜歯をした

  • 03

    歯を失った箇所が4箇所以上ある

  • 04

    前歯のインプラント

  • 05

    抜歯後、5年以上経過している部位

  • 06

    抜歯後、日常的に入歯を装着している部位

  • 07

    噛み合わせが安定していな箇所

  • 08

    歯を食いしばる・歯ぎしりの癖がある

  • 09

    嘔吐反射が強い

  • 10

    過去にインプラント治療を失敗した箇所に

  • 11

    再度インプラント治療を実施する

  • 12

    糖尿病・骨粗鬆症・リウマチなどの持病がある

  • 13

    骨が薄く不足しているため骨造成が必要な方

症例紹介

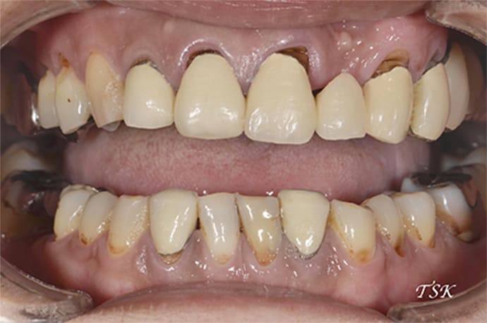
上下全顎インプラント埋入

治療前

治療後

治療期間と総計

※価格は消費税込みです。

治療期間 10カ月
治療費 6,952,000

費用(内訳)

インプラント
25万 × 10本
25万 × 10本 2,500,000
マルチアバットメント
3万 × 10本
3万 × 10本 300,000
インプラント用仮歯
1万 × 24本
1万 × 24本 240,000
セラミック上部構造
12万 × 24本
12万 × 24本 2,880,000
サイナスリフト(副鼻腔内骨再生術)
20万 × 2ヶ所
20万 × 2ヶ所 400,000

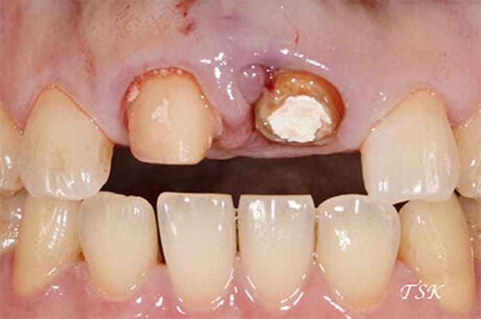
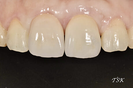
前歯部抜歯即時埋入

治療前

治療後

治療期間と総計

※価格は消費税込みです。

治療期間 12カ月
治療費 2本合計808,500

費用内訳(左上前歯)

抜歯即時インプラント
スタンダード
スタンダード 250,000
GBR(骨再生療法)
1回
1回 50,000
CTG(歯肉結合組織移植)
1回
1回 80,000
部分矯正処置
100,000
インプラント仮歯
1本
1本 10,000
セラミック上部構造
1本
1本 120,000
合計(左上前歯)
671,000

費用内訳(右上前歯)

仮歯
1本
1本 5,000
セラミッククラウン
1本
1本 120,000
合計(右上前歯)
137,500

上顎前歯部骨造成インプラント

治療前

治療後

治療期間と総計

※価格は消費税込みです。

治療期間 12カ月
治療費 616,000

費用(内訳)

インプラント
スタンダード
スタンダード 250,000
GBR(骨再生療法)
1回
1回 100,000
CTG(歯肉結合組織移植)
1回
1回 80,000
インプラント仮歯
1本
1本 10,000
セラミック上部構造
1本
1本 120,000

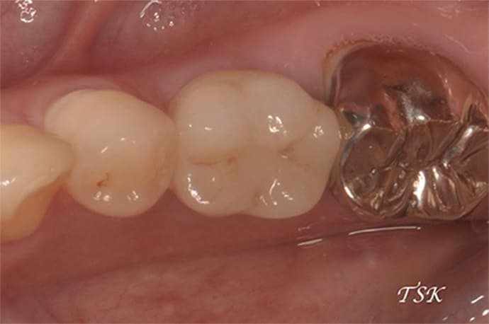
下顎臼歯部1本埋入

治療前

治療後

治療期間と総計

※価格は消費税込みです。

治療期間 3カ月
治療費 440,000

費用(内訳)

インプラント
スタンダード
スタンダード 250,000
アバットメント
1本
1本 30,000
セラミック上部構造
1本
1本 120,000

治療費用

インプラントの標準的な費用になります。

※価格は消費税込みです。

CT撮影 22,000

フィクスチャー

シンプル 49,500
ベーシック 165,000
スタンダード 297,000
ハイグレード 407,000
プレミアム 517,000

アバットメント

アバットメント 38,500
カスタムアバットメント 60,500

上部構造物

ハイブリッド 49,500
セラミック 137,500
ジルコニア 170,500
高強度ジルコニア 203,500
高強度ジルコニアセラミックレイヤード 225,500

コア

ファイバー 27,500
メタル 16,500

プロビジョナルインプラント上部(仮歯) 22,000

部分治療(1本あたり)

99,000円〜616,000

その他にも「サイナスリフト・ソケットリフト」「GBR」などの骨再生処置や眠っているような感覚で治療を受けることができる「静脈内鎮静法(点滴麻酔)」などを行って治療を受けることができます。

お問い合わせ電話番号

TEL 045-755-7195

24時間Web予約