インプラントなら国内最多症例・ダイヤモンド認定の徳誠会グループにご相談ください
医療法人社団徳誠会グループは全国に16医院、歯科技工所、歯科衛生士学校を展開する大型医療法人です。

インプラント
年間埋入実績

※2025年1月〜2025年12月

2,485

歯科CTによる精密な診断
相談無料 ご相談ください セカンドオピニオン
他院に断られた難症例にも対応

徳誠会歯科・矯正歯科国内唯一
ダイヤモンドメンバーに認定

徳誠会歯科・矯正歯科国内唯一
ダイヤモンドメンバーに認定

世界最大のインプラントメーカー
「デンツプライ社」より

国内
最多症例数

表彰されました

上下全顎インプラント埋入

治療前

治療前

治療後

治療後

Advanced Implant Treatment

圧倒的なインプラント技術の差
骨と歯茎まで見据えた、ワンランク上の治療へ

インプラントはただ埋入して歯を取り戻す治療ではありません。

骨の再生、歯茎の再生も高いレベルで行うことで初めてレベルの高い治療を行うことができます。

当法人では大学病院で治療不可能と言われた患者様でも 骨移植、歯肉移植を伴う再生治療を併用し高いレベルのインプラント治療実績を積み上げて参りました。

ただインプラントを埋入する以上の治療。歯周組織と調和した最高レベルのインプラント治療を目指しております。

どれだけ骨が無くなっていても歯茎がなくなっていても全て再生させることができます。

もしお悩みの方は是非一度御相談にいらして下さい。

渋谷エリア統括院長
植村 孝雄

国内外でインプラント治療の研鑽を積んだ

インディアナ大学
客員教授歯科医師

インプラント治療をいたします

DOCTOR

当院のインプラント治療は、インディアナ大学歯周インプラント科客員教授としての経験を持つ歯科医のもと、最新の技術と知識で提供されています。このような国際的な経験を持つ歯科医により、安全性と確実性をもって治療を行います。

所属学会

日本歯周病学会所属

日本歯内療法学会所属

日本歯科顕微鏡学会所属

国際口腔インプラント学会所属

東京歯科大学歯内療法学講座所属

鶴見大学歯学部歯周病学講座所属

渋谷エリア統括院長
植村 孝雄

TAKAO UEMURA

インディアナ大学歯周インプラント科 客員教授

アストラインプラントシステム 公認インストラクター

ISOI 国際口腔インプラント学会 指導医

厚生労働省臨床研修 指導医

厚生労働省臨床研修プログラム責任者

国立東北大学歯学部卒業

横浜労災病院歯科口腔外科にて勤務

医療法人社団徳誠会 常務理事

日本歯周病学会所属

JIADS Perio course(長期予後を確立するための歯周病治療)修了

JIADS Perio implant advance course(歯周再生療法、インプラントのための骨造成)修了

ridge argumentation couse(ボーングラフトによる骨造成)(Umeå Univercity Plof Stefan Lundgren)修了

Advanced Endodontics Non Surgical Retreatment course
(顕微鏡を用いた感染歯根の非外科的治療)(Dr.Clifford J Ruddle in USA) 修了

Sinus flour elevation course
(側方アプローチによる上顎洞挙上術)(Umeå Univercity Plof Stefan Lundgren) 修了

Advanced Implant surgeryⅠ(安全性の高いインプラント外科)(Dr.Lars Kristerson) 修了

DAWSON ACADEMY (咬合崩壊難症例の治療法)(Dr Peter E Dawson in USA) コース修了

Advanced Implant SurgeryⅡ(残存骨の少ない症例への対応)(Dr.Lars Kristerson)修了

Advanced Endodontics Shape Clean Pack courseⅠ (顕微鏡を用いた根管治療)Dr.Clifford J Ruddle in USA)修了

東京医科歯科大学 歯内療法コース (Plof Hideaki Suda) 修了

東京医科歯科大学 コンポジットレジンテクニックコース(Plof Junji Tagami)修了

Advanced Endodontics Shape Clean Pack courseⅡ (顕微鏡を用いた根管治療)(Dr.Clifford J Ruddle in USA) 修了

石井歯内療法研修会セミナー(Dr.Hiroshi Ishii)修了

SJCD Occlusion,Prosthodontic Planning Seminar(咬合再構成のコンセプト)(Dr.Masaaki Honda)修了

Emdgain Gel course(歯周再生療法)(Straumann)

Oral physicians course(Dr.Takashi Kumagai)修了

明石矯正研修会レギュラーコース(Dr下間一洋)修了

明石矯正研修会Ⅱ級アドバンスコース(Dr下間一洋)修了

VIP ADVANCED IMPLANT WORKSHOP (Dr Homa Zadeh in USA)修了

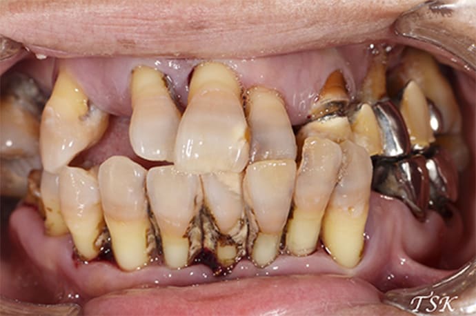
総入れ歯・ボロボロの歯でお悩みの方へ
All-on-4 / All-on-6 無料相談実施中

一度、あなたに最適な「全顎治療」を見極める機会としてご利用ください

All-on-4/6はお口全体を再構築する高度な治療のため、価格の安さだけで選ぶのは非常に危険です。
当院では、専門医によるセカンドオピニオン・無料相談を随時受け付けております。
他院で「骨が足りない」「総入れ歯しかない」と断られた方もご安心ください。
当院には、All-on-4/6の難症例にも対応できる圧倒的な実績と技術があります。

電話でのお問い合わせ

TEL 045-755-7195

9:00~13:30/15:00~20:00 土日祝18:00まで

24時間Web予約
歯医者に見てもらう前に不安になることなど

こんなお悩みはありませんか

  • 01

    歯がほとんどない、ボロボロになってしまった

  • 02

    歯周病が進行して、総入れ歯を勧められた

  • 03

    入れ歯が合わず、痛くてしっかり噛めない

  • 04

    1本ずつインプラントをすると高額になりすぎる

  • 05

    他院で「骨がなくてインプラントは無理」と言われた


総入れ歯から解放される!1日で固定式の歯を取り戻す

当院のAll-on-4 / All-on-6なら解決できます

上部構造(最終的な被せ物)もすべて込み!
分かりやすくて安心の料金体系

All-on-6料金 165万円(税込181.5万円)

■ おすすめのAll-on-6(片顎フルブリッジ)
165万円(税込 181.5万円)

【上記の料金に含まれるもの】

  • インプラント体(6本分の人工歯根の埋入)
  • アバットメント(インプラントと歯を繋ぐ土台)
  • 上部構造(最終的に装着する美しく丈夫な人工歯)

💡 費用に関する重要なお知らせ

当院では患者様に心から安心して治療をスタートしていただけるよう、「上部構造コミコミ」の総額を明記しております。

徳誠会の専門医なら経験豊富な専門医が、患者様一人ひとりに合った治療を行います。 歯がボロボロでもALLon4やALLon6など、歯がほとんど残っていない方でも対応可能です。

総入れ歯ボロボロ
美しく丈夫な固定式

上部構造(最終的な被せ物)も全て込み

片顎165万円(税込181.5万円)
※デンタルローンによる月々の分割払いも可能です

公的医療保険外治療 新しい技術・医療機器を使った治療のため、公的医療保険が適応されません。

患者様のお口の状態に合わせて、最も安全で確実な治療計画をご提案いたします。

電話でのお問い合わせ

TEL 045-755-7195

9:00~13:30/15:00~20:00 土日祝18:00まで

24時間Web予約

よく聞くAll-on-4 / All-on-6のお悩み

当院にお任せください

  • 01

    骨が薄いと他院に断られた

  • 02

    興味はあるけど大掛かりな手術が怖い

  • 03

    総入れ歯の煩わしさから解放されたい

  • 04

    歯がない期間があると生活に困る

当院は患者さま毎に
最適なオーダーメイドの
治療計画をいたします

「本当に1日で噛めるようになるの?」「痛くない?」など、全顎の治療だからこそ不安は尽きないと思います。
当院では患者様が抱えている不安要素を出来る限り解消できるよう、徹底した精密検査を行い、極力不安を払拭できるようなアプローチを心がけております。難症例にも対応しておりますので、まずはお気軽にご相談ください。

「歯がない期間があるのは困る…」
とご不安な方へ

All-on-4 / All-on-6
(即時荷重)

最短で手術当日に固定式の仮歯を装着

通常のインプラント治療では、インプラント埋入後、顎の骨と結合するまで数ヶ月待ち、その後に被せ物をするため、長期間のストレスを抱えた生活を余儀なくされてきました。
しかし当院の「All-on-4 / All-on-6」では、条件が整えばインプラント体の埋入から固定式の仮歯の装着までを1日で終えることが可能です。その日からグラグラしない歯でお食事ができるため、遠方からお越しの方にも喜ばれています。

※安全性を最優先するため、お口の状況(骨の硬さや初期固定の状態)によっては、当日に仮歯を装着できず治癒期間を頂く場合がございます。事前の検査にてしっかりとご説明いたします。

手術当日の流れ

  • 01

    手術の準備

    まずは健康状態をチェックやクリーニングを行い、手術の準備に入ります。

    まずは健康状態をチェックやクリーニングを行い、手術の準備に入ります。

  • 02

    インプラント手術

    麻酔後、インプラントの埋入手術を行います。

    麻酔後、インプラントの埋入手術を行います。

  • 03

    人工歯の型取り

    当日仮歯を装着するため、人工歯の型取りをします。

    当日仮歯を装着するため、人工歯の型取りをします。

  • 04

    仮歯の製作

    型をもとに技工士が仮歯の製作をします。麻酔が効いてる間、
    回復室でゆっくりとお過ごしください。

    型をもとに技工士が仮歯の製作をします。麻酔が効いてる間、回復室でゆっくりとお過ごしください。

  • 05

    仮歯の装着

    仮歯が完成したら装着して治療は完了します。当日にお食事をすることができます(※柔らかいものに限ります)。

    仮歯が完成したら装着して治療は完了します。当日にお食事をすることができます(※柔らかいものに限ります)。

他院でインプラント治療を断られた方

骨造成による
インプラント治療

骨が薄くても治療可能

他院でインプラントを断られたという患者さまで「顎の骨が痩せている」という相談を受けることが多いです。顎の骨は噛む刺激により、骨を作る作用が働き健康的な骨を維持することができます。しかし、長い年月総入れ歯を使用されていたり、失った歯のまま放っておいたりすることで、骨への刺激がなくなり歯槽骨の吸収で徐々に顎の骨が痩せていく現象が起こります。そうするとインプラントを埋めたくてもそもそもの土台を失っているので、治療を受けられないということになります。
当院では、そのような理由でインプラント治療を断られた患者さまでも『骨造成治療』によって治療を行うことができます。

GBR(骨誘導再生)

骨が細くなってしまいインプラントが骨に収まらない場合、メンブレンという特殊な膜を使用して、骨を造成する治療法です。

サイナスリフト(上顎洞底挙上術)

上顎の側面から穴を開け、上顎洞の骨を取り除いて、上顎洞底部を持ち上げた隙間に自分の骨や人工骨を移植する治療法です。

ソケットリフト(上顎洞底挙上術)

口腔内から専用の器具で上顎洞底を押し上げ、人工の骨補填材を挿入してインプラントを埋入する治療法です。

手術への恐怖や身体への負担が心配な方

静脈鎮静法で
痛みの無い治療

リラックスしている状態で治療が完了

静脈内鎮静法は、点滴による静脈麻酔で眠っているような状態で、痛みが無く治療を受けることができます。歯科治療が怖い方や痛みが苦手な方、手術に対して不安がある方などに最適な治療法です。
患者さまの呼吸や脈拍などを把握して、担当医による監視のもと治療を行います。全身麻酔と違い、完全に意識はなくならず問いかけにも反応でき、安心してインプラント治療を受けることができます。

このような方は
「静脈内鎮静法」がおすすめです

歯科治療に恐怖心の強い方や手術に不安がある方

口の中に器具が入ると反射的に嘔吐してしまう方

高血圧症、心疾患、糖尿病などの持病がある方

今まで治療中に気分が悪くなった経験がある方

リラックスした状態で歯科治療を受けられたい方

総入れ歯ボロボロ
美しく丈夫な固定式

上部構造(最終的な被せ物)も全て込み

片顎165万円(税込181.5万円)
※デンタルローンによる月々の分割払いも可能です

公的医療保険外治療 新しい技術・医療機器を使った治療のため、公的医療保険が適応されません。

患者様のお口の状態に合わせて、最も安全で確実な治療計画をご提案いたします。

電話でのお問い合わせ

TEL 045-755-7195

9:00~13:30/15:00~20:00 土日祝18:00まで

24時間Web予約

手術の安全性、長期安定性を守るため、
妥協しないインプラント治療をご提供します。

当院のインプラント
治療5つの特徴

FIVE
FEATURES

01

精密治療・診断

現在の状態になってしまった原因を正確に把握するため、正確な「診査・診断」を行わなければ、治療成功はなり得ません。数ヶ月、もしくは数年後に再発をしてしまわないためにも、当院では特に治療前の精密な検査と正確な診断に力を入れております。

歯科用CTで隠れた部分を細部まで把握

歯科用CTはインプラントのツールとしての導入と思われがちですが、実際には「予測の診療から確実性のある診療」へ変えることができます。
従来のレントゲン撮影と違いCT撮影は、神経や血管の位置、骨の状態、病状の進行具合など、立体的な3次元の情報が視覚的に確認できます。

肉眼で見えないものを
マイクロスコープで確認

肉眼では見えないものを20倍まで拡大観察できるので、精密な治療を実現し、歯の治療も肉眼では見えない歯の神経や虫歯の治療も可能になります。
根管治療での成功率を上げ、再発率を下げることができるので、精密な治療を行うインプラント治療には必要不可欠な医療機器になります。

02

インストラクターによる手術

当院では世界最大のインプラントメーカー『デンツプライ社』の公認インストラクターが在籍しております。年間手術症例数、学会症例発表数、国内外での研修会や勉強会での研鑽、定期開催している若手ドクター育成セミナーでの指導を経てそのライセンスを取得しました。
また、アメリカで伝統のあるインディアナ大学の歯周インプラント科にて、客員教授の称号を得ております。
骨が不足していて骨造成が必要な患者さま、インプラントができなかった患者さま、インプラントに関わるトラブルを抱えた患者さまなどの難症例にも対応しております。

当院のインプラント治療の特徴

インプラントだけでなく、総合的な完成度への追及

矯正歯科や審美治療等幅広い治療を行える当院だからこそ、総合的な完成度を高めることを大切にすると共に「インプラントと気付かれることがない自然な見た目」審美性を重視しております。

デンツプライ社のダイヤモンドメンバー

臨床データで『世界で最も信頼性の高いインプラントシステム』と言われているメーカー「デンツプライ社」に、当院は国内最多症例数を表彰され、ダイヤモンドメンバーに認定されました。

インディアナ大学客員教授の歯科医師が治療をいたします。

当院のインプラント治療は、インディアナ大学歯周インプラント科客員教授としての経験を持つ歯科医のもと、最新の技術と知識で提供されています。このような国際的な経験を持つ歯科医により、安全性と確実性をもって治療を行います。

03

感染等安全面への配慮

当院では、インプラントに対する院内感染防止のため安全面を考慮した設備投資を惜しみません。徹底した滅菌対策のもとインプラント専用オペ室を完備し、オペ室内には滅菌水で手洗いをする手術用自動滅菌手洗い機の設置しています。また、プライバシーに配慮した全室個室診療で、他の患者さまの目を意識することなく、治療に集中していただくことができます。

インプラント専用オペ室

手術用自動滅菌手洗い機

全室個室診療

04

患者さまの声を大切にしたカウンセリング

患者さまと歯科医との信頼関係を築くため、インプラント治療に対する理解を深めていただくために6つの約束をいたします。

治療を始める前の丁寧なカウンセリングをします。

治療期間を伝えます。

不安や疑問点をお聞きし、お応えします。

治療方法をご提案します。

手術のリスクをお話しします。

できる限り痛みの少ない治療を行います。

セカンドオピニオン対応

当院ではセカンドオピニオン、サードオピニオンに対応しております。もちろん当院での治療説明後に、セカンドオピニオンを求めていただいても構いません。

インプラントの無料相談を実施

当院では、あなたのご希望にあったインプラント治療計画や治療前の不安点等お気軽にご相談できます。

05

お口全体をトータルに考えた「総合歯科医療」

歯科用CTで隠れた部分を細部まで把握

お口の中全体に渡って治療部位が存在している場合やかみ合わせが崩壊している場合など、治療法は複雑になります。そのような場合、「補綴治療」、「歯周病治療」、「インプラント治療」、「矯正治療」など、様々な歯科医療分野の治療を組み合わせ、患者さまそれぞれのご希望に沿ったオーダーメイドの治療を行います。
一口腔単位でのかみ合わせの考慮された、バランスのいい治療は審美性、機能性に優れた長く持つ治療となります。

総入れ歯ボロボロ
美しく丈夫な固定式

上部構造(最終的な被せ物)も全て込み

片顎165万円(税込181.5万円)
※デンタルローンによる月々の分割払いも可能です

公的医療保険外治療 新しい技術・医療機器を使った治療のため、公的医療保険が適応されません。

患者様のお口の状態に合わせて、最も安全で確実な治療計画をご提案いたします。

電話でのお問い合わせ

TEL 045-755-7195

9:00~13:30/15:00~20:00 土日祝18:00まで

24時間Web予約

総入れ歯や多くの歯を失った場合

すべての歯を失った場合の治療法は、主に総入れ歯とAll-on-4/All-on-6などのインプラント治療があります。それぞれメリット・デメリットがありますが、違和感なくしっかり噛める治療効果の高さから、当院ではAll-on-4/6を推奨しております。

All-on-4 / All-on-6治療の
メリット・デメリットについて

治療のメリット

少ない本数で負担を軽減

4本または6本のインプラントで全体の歯を支えるため、1本ずつインプラントを埋め込むよりも手術の負担が少なく、経済的にも費用を抑えることができます。

手術当日から固定式の歯が入る

骨の状態が良ければ、抜歯からインプラント埋入、仮歯の装着までを1日で行うことが可能です。「歯がない期間」を過ごすことなく、すぐにお食事ができるようになります。

天然歯に近い審美性と力強い噛み心地

入れ歯のようなガタつきや違和感がなく、天然歯と同じような力強さで噛むことができます。また、お口周りの自然なボリュームも回復できるため、美しい口元を取り戻せます。

治療のデメリット

外科的な処置が必要

インプラントを顎の骨に埋め込む外科手術が必要となります。当院では静脈内鎮静法を用いて痛みを和らげますが、術後の腫れや痛みを伴う場合があります。

すべての症例で適応できるわけではない

顎の骨の量が極端に少ない場合や、重度の全身疾患がある場合は、治療が難しい、あるいは事前の骨造成などの追加処置が必要になるケースがあります。

保険適用外の治療となる

インプラント治療は健康保険の適用外となるため全額自己負担となります。ただし、医療費控除の対象にはなりますので、確定申告により負担を軽減することができます。

治療のリスク

01

上顎のトラブル

上顎の骨は薄く、その上には上顎洞(副鼻腔のはひとつ。蓄膿症で膿が溜まる場所)という空洞があります。もしインプラントが顎骨を突き抜けて上顎洞まで貫通してしまうと、感染が起き上顎洞炎を発症するリスクがあります。そのため骨の厚みが不足している場合は「上顎洞底挙上術」という骨造成(移植)処置を行う必要があります。この骨造成は高度な技術を要するので、経験と知識に裏付けされたインプラント執刀医が行うことが推奨されます。

02

下顎のトラブル

下顎の骨の中には重要な神経と血管が通っています。そこにインプラントのドリルが触れるなどの事態が起きれば神経が損傷して唇周囲が麻痺するなど重大な事故になります。そのため、手術前にCT撮影を行い、神経までの正確な距離を測定し、十分な安全域を見極めてから治療する必要があります。

03

審美的なトラブル

前歯は人目につきやすいデリケートな部位です。そのため前歯のインプラント治療のリスクは見た目に関することが多いです。インプラント治療の経験が浅い歯科医師が前歯のインプラント治療を行い審美面でのトラブルに発展するケースも多く見られます。

インプラント治療によって見た目を元の天然歯と同じように修復するには、下記の点が重要です。これを実現するには入念なプランニングと熟練した技術が不可欠です。

インプラントを良好なポジションに埋め込むこと
適切な骨造成をおこなうこと

リスクの高い全顎治療だからこそ、
エキスパートによる
治療が大切です。

All-on-4/6は優れた治療法の1つですが、複数本のインプラントを同時に埋入し全体のかみ合わせを再構築するため高度な技術を要します。
一生ものの治療となり得るインプラント治療だからこそ、価格だけを見るのではなく、
本当に安心して治療を行うことができる歯科医院選びをご選択されるよう、お願いしております。

リスク回避に大切な3原則

  • 1

    執刀医による
    技術と知識

    実績のあるインプラント
    執刀医による治療を行います

  • 2

    デジタル機器
    による診断技術

    精度の高い診断を実施するために
    デジタル機器を導入してます

  • 3

    静脈鎮静法で
    痛みの無い治療

    滅菌器を導入し診療に使う
    機器の清潔状態を保っています

症例が難しければ難しいほど、
これらの重要性が高くなります。

  • 01

    重度の歯周病で抜歯を行った

  • 02

    歯の周囲の炎症が原因で抜歯をした

  • 03

    歯を失った箇所が4箇所以上ある

  • 04

    前歯のインプラント

  • 05

    抜歯後、5年以上経過している部位

  • 06

    抜歯後、日常的に入歯を装着している部位

  • 07

    噛み合わせが安定していな箇所

  • 08

    歯を食いしばる・歯ぎしりの癖がある

  • 09

    嘔吐反射が強い

  • 10

    過去にインプラント治療を失敗した箇所に

  • 11

    再度インプラント治療を実施する

  • 12

    糖尿病・骨粗鬆症・リウマチなどの持病がある

  • 13

    骨が薄く不足しているため骨造成が必要な方

All-on-4 / All-on-6 治療費用

当院では、必要なものがすべて含まれた分かりやすい総額表示を行っております。

当院のおすすめ

All-on-6(片顎フルブリッジ)

1,650,000
(税込 1,815,000円)

【こちらの料金に含まれるもの】

  • ✅ インプラント体埋入(6本分の人工歯根)
  • ✅ アバットメント(土台の連結部品)
  • ✅ 上部構造(最終的に装着する美しく丈夫な人工歯)
  • ✅ プロビジョナル(治療期間中の固定式仮歯)

オプション・特殊な処置(※必要な場合のみ)

静脈内鎮静法(リラックス麻酔) 77,000
GBR(骨再生療法) 50,000円〜
サイナスリフト(上顎洞底挙上術) 200,000円〜
CT撮影・精密診断 22,000

※骨の状態やご希望により「All-on-4(4本埋入)」のご案内も可能です。まずは無料カウンセリングにて、あなたのお口に最適なプランと正確なお見積りをご提示いたします。
※1本単位の通常のインプラント治療も行っておりますので、歯が部分的に残っている方もご相談ください。

お問い合わせ電話番号

TEL 045-755-7195

24時間Web予約